티스토리 뷰
어느 날 이유 없이 피부 가려움 증상 나타나면, 말 그대도 피부에 서식하는 곰팡이균을 의심해 봐야 합니다. 피부 곰팡이균은 흔한 질환이지만 방치하게 되면 여러 가지 피부질환으로 악화됩니다. 오늘은 피부 곰팡이균에 대해 적절한 치료와 예방에 대해 알아보겠습니다.
[ 목차 ]
피부 곰팡이균이란
B형 독감!! 원인,증상,치료,격리기간, 예방 총정리 궁금하면?
곰팡이균 감염에 의해 발생하는 피부질환으로 다양한 종류가 있습니다. 이 균류는 피부의 외부층에 살며, 일반적으로 피부 상태의 변화를 유발할 수 있는 질환을 일으킵니다. 대표적으로 무좀이 가장 흔한 피부 곰팡이입니다.
피부 곰팡이균의 원인
피부 곰팡이균이 발생하는 원인은 다양합니다. 요즘처럼 추운 겨울 날씨에 피부건조에 의해 가려움증이 발생하기도 하고 또는 면역계가 약해져서 곰팡이균(진균)과 싸워 이기지 못해 발생하기도 하며, 피부에 노출된 화학 물질이나 알레르기 반응으로 가려움증이 유발하기도 합니다. 주로 땀을 과도하게 많이 흘린다거나 습한 곳에서 발생한다는 특징이 있습니다.
피부 곰팡이균의 종류

곰팡이균은 몇 가지로 나눌 수 있습니다. 곰팡이균은 종류를 불문하고 가려움증과 발진 등 서로 유사한 변병이 나타나지만 원인균의 종류에 따라 항진균제 성분을 각각 다르게 하여 치료해야 합니다. 피부 곰팡이균에는 여러 종류가 있지만, 가장 흔한 3가지는 다음과 같습니다.
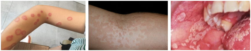
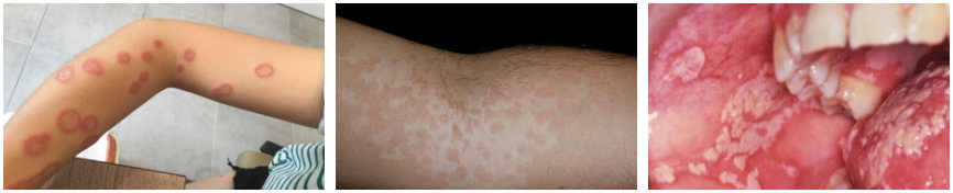
- 백선증: 피부, 모발, 손톱 등에서 발생하며, 둥근 모양의 붉은 반점이 특징입니다. 무좀도 백선증의 일종으로, 발가락 사이에 감염되어 가려움증과 피부 벗겨짐을 일으킵니다.
- 어루러기: 주로 가슴, 등, 겨드랑이에 붉거나 갈색빛이 도는 얼룩처럼 나타나며, 말라세지아라는 곰팡이균에 의해 발생합니다.
- 칸디다증: 구강, 질, 피부 등에서 발생할 수 있으며, 면역력이 떨어졌을 때 흔하게 감염됩니다. 발진, 가려움증, 통증 등의 증상을 보일 수 있습니다.
이들 곰팡이균은 습한 환경과 약화된 면역 체계에서 번식하기 쉬우므로, 위생 관리와 환경 유지가 중요합니다.
피부 곰팡이균의 증상
피부 곰팡이균 증상은 다음과 같습니다.
- 발적: 피부 곰팡이균 감염의 일반적인 증상 중 하나는 발적(발진)입니다. 발적은 피부 상에 작은 반점이나 발진으로 나타나는 증상으로, 곰팡이균에 의한 감염으로 인해 발생할 수 있습니다.
- 가려움증: 피부 곰팡이균 감염의 주요 증상 중 하나는 가려움증입니다. 곰팡이균에 의한 피부 감염은 종종 감염된 부위에서 가려움증이 발생할 수 있습니다.
- 붉은 반점: 피부 곰팡이균에 의한 감염은 종종 붉은 반점이나 발진으로 나타날 수 있습니다. 이러한 붉은 반점은 일반적으로 곰팡이균에 의해 감염된 피부 부위에서 나타나는 증상 중 하나입니다.
- 탈모: 피부 곰팡이균은 일반적으로 피부 감염을 유발하지만, 직접적으로 탈모를 일으키는 원인은 아닙니다. 그러나 피부 곰팡이균에 의한 감염이 발생한 경우, 감염된 부위 주변에 탈모가 발생할 수 있는 경우가 있습니다.
이러한 피부 곰팡이균 증상이 지속될 경우 의료 전문가의 상담과 진단을 통해 적절한 치료를 받아야 합니다.
피부 곰팡이균의 치료법
B형 독감!! 원인,증상,치료,격리기간, 예방 총정리 궁금하면?
피부 곰팡이균은 보통 항진균제라고 불리는 약물로 치료할 수 있습니다. 항진균제는 크림, 로션, 스프레이, 샴푸, 정제 등의 형태로 제공됩니다. 피부 곰팡이균의 종류와 감염된 부위에 따라 적절한 항진균제를 선택하고, 의사의 처방에 따라 정해진 기간 동안 꾸준히 사용해야 합니다. 다음은 대표적인 3가지 종류의 치료법은 다음과 같습니다.
백선증: 백선증은 피부사상균이라는 진균에 의해 발생하는 피부 감염입니다.
- 항진균성 크림이나 연고를 사용합니다. 클로트리마졸, 테르비나핀, 미코나졸 등의 약물이 효과적입니다. 약을 구매한 후에는 제품 설명서를 읽고 사용법과 사용량을 따르거나 의사의 지시를 따릅니다. 일반적으로 2~3주 동안 지속적으로 치료가 필요합니다.
- 자연요법을 시도해 볼 수 있습니다. 마늘, 사과식초, 소금과 식초 반죽, 티트리 오일, 라벤더 오일 등은 항진균 작용을 하는 자연적인 물질입니다. 이들을 백선증이 생긴 부위에 바르거나 붙이면 증상을 완화할 수 있습니다. 하지만 효과가 확실하지 않고 피부 자극이 있을 수 있으므로 주의가 필요합니다.
- 올바른 위생 습관을 유지합니다. 백선증은 매우 전염성이 높으므로 개인 물품을 공유하지 않고, 손을 자주 씻고, 몸을 청결하게 유지합니다. 피부가 건조하고 통풍이 잘 되는 상태를 유지하고, 땀이나 습기가 쌓이지 않도록 합니다. 두피 백선증의 경우에는 항진균성 샴푸를 사용하고, 머리카락을 짧게 자르거나 자주 빗어줍니다.
어루러기: 어루러기는 말라세지아 푸르푸르라는 곰팡이균에 의해 발생하는 피부 감염입니다.
- 항진균제를 복용하거나 바릅니다. 플루코나졸, 이트라코나졸, 케토코나졸 등의 약물이 효과적입니다. 약을 구매한 후에는 제품 설명서를 읽고 사용법과 사용량을 따르거나 의사의 지시를 따릅니다. 일반적으로 2~4주 동안 지속적으로 치료가 필요합니다.
- 피부를 건조하고 청결하게 유지합니다. 어루러기는 습한 환경을 좋아하므로 피부를 건조하게 하고, 땀이나 오염물질이 쌓이지 않도록 합니다. 샤워를 하거나 물에 닿은 후에는 피부를 잘 말려줍니다. 비누나 클렌저 등으로 피부를 깨끗이 씻어줍니다.
- 자외선을 피하거나 차단제를 사용합니다. 어루러기는 자외선에 노출되면 증상이 악화될 수 있습니다. 따라서 자외선이 강한 시간대에는 피부가 드러나지 않도록 하고, 자외선 차단제를 바릅니다. 태닝이나 선탠도 피합니다.
칸디다증: 칸디다증은 칸디다라는 효모에 의해 발생하는 피부, 구강, 질 등의 감염입니다.
- 항진균제를 바르거나 복용합니다. 칸디다증은 감염된 부위에 따라 다른 방식으로 치료할 수 있습니다. 피부 감염의 경우에는 클로트리마졸, 니스타틴, 미코나졸 등의 항진균 크림이나 연고를 바릅니다. 구강 감염의 경우에는 니스타틴이나 클로트리마졸과 같은 항진균 액체나 트로키를 사용합니다. 질 감염의 경우에는 클로트리마졸, 미코나졸, 테르코나졸 등의 항진균 질정이나 질용액을 사용합니다. 손발톱 주위염의 경우에는 플루코나졸, 이트라코나졸, 테르비나핀 등의 경구 투여 항진균제를 복용합니다. 약을 구매한 후에는 제품 설명서를 읽고 사용법과 사용량을 따르거나 의사의 지시를 따릅니다. 일반적으로 1~4주 동안 지속적으로 치료가 필요합니다.
- 면역력을 강화하고 위생을 유지합니다. 칸디다증은 면역력이 약해지거나 항생제를 복용하면 쉽게 발생할 수 있습니다. 따라서 면역력을 강화하기 위해 건강한 식습관과 생활습관을 유지하고, 필요한 경우 면역강화제나 프로바이오틱스를 복용합니다. 또한 위생을 유지하기 위해 피부를 건조하고 청결하게 하고, 개인 물품을 공유하지 않고, 성관계 후에는 깨끗이 씻어줍니다.
- 자연요법을 시도해 볼 수 있습니다. 요구르트, 마늘, 사과식초, 크랜베리 주스, 오레가노 오일, 코코넛 오일 등은 항진균 작용을 하는 자연적인 물질입니다. 이들을 섭취하거나 감염된 부위에 바르면 증상을 완화할 수 있습니다. 하지만 효과가 확실하지 않고 피부 자극이 있을 수 있으므로 주의가 필요합니다.
피부 곰팡이균은 재발하기 쉬우므로, 증상이 완전히 사라진 후에도 약물을 계속 사용해야 할 수 있습니다. 피부 곰팡이균이 심하거나, 면역력이 약한 경우에는 구강용 항진균제를 병용할 수 있습니다. 구강용 항진균제는 간, 신장 등에 부작용을 일으킬 수 있으므로, 의사의 지시에 따라 주기적으로 혈액 검사를 받아야 합니다.
피부 곰팡이균의 예방법
피부 곰팡이균을 예방하기 위해서는 다음과 같은 방법을 따라야 합니다.
- 피부를 건조하고 청결하게 유지하세요. 땀이나 물에 젖은 상태로 오래 있지 마세요. 목욕 후에는 피부를 잘 닦아주세요. 특히 발가락 사이, 겨드랑이, 사타구니 등의 부위는 주의 깊게 관리해야 합니다.
- 개인용품은 공유하지 마세요. 수건, 옷, 신발, 모자, 빗, 면도기 등의 물건은 다른 사람과 함께 쓰지 않도록 하세요. 피부 곰팡이균은 접촉 전염이 가능합니다.
- 습하고 더운 곳을 피하세요. 피부 곰팡이균은 습도와 온도가 높은 환경에서 번성하기 쉽습니다. 수영장, 사우나, 운동장, 탈의실 등의 공공장소에서는 발가락 사이에 흡수성이 좋은 양말을 신거나, 샌들을 신도록 하세요.
- 건강한 식습관을 가지세요. 과도한 설탕 섭취는 피부 곰팡이균의 성장을 촉진할 수 있습니다. 채소, 과일, 견과류, 콩류, 발효식품 등의 식품을 섭취하고, 설탕, 가공식품, 알코올 등의 식품은 절제해야 합니다.
- 스트레스를 관리하세요. 스트레스는 면역력을 약화시키고, 피부 곰팡이균에 취약하게 만들 수 있습니다. 적절한 운동, 수면, 취미, 명상 등의 방법으로 스트레스를 관리해야 합니다.
- 면역력 올리세요. 평소 우리는 다양한 곰팡이균에 노출되어 있습니다. 면역력이 떨어진 상태에서는 곰팡이균에 감염될 수 있으므로 적절한 영양 불균형과 스트레스를 받지 않도록 신경을 써서 관리해야 합니다.
정리
피부 곰팡이균은 적절한 치료와 예방을 통해 극복할 수 있는 질환입니다. 피부 곰팡이균에 걸렸다고 해서 부끄러워하거나 무시하지 마세요. 의사와 상담하고, 적절한 조치를 취하세요. 피부 곰팡이균을 잘 관리하면, 건강하고 아름다운 피부를 되찾을 수 있습니다.
'생활 건강' 카테고리의 다른 글
| 연골연화증, 무릎 통증의 주범! 이렇게 예방하고 치료하세요 (0) | 2024.01.24 |
|---|---|
| 신증후군 출혈열, 한탄바이러스의 원인은 집쥐나 들쥐다! 그 이유는? (0) | 2024.01.20 |
| 안면거상 수술이란, 효과, 후기, 비용, 주의사항 총정리 (2) | 2024.01.13 |
| B형 독감!! 원인,증상,치료,격리기간, 예방 총정리 (0) | 2024.01.11 |
| 헌팅턴병, 진행성 신경계 질환의 원인과 증상, 치료 방법을 알아보자 (0) | 2024.01.08 |

